Multidisciplinary International Search for Effective Therapies for Sjögren’s Disease

Sjögren’s disease (SjD, formerly known as Sjögren’s syndrome) is a multisystem autoimmune disease characterized by inflammation of exocrine glands resulting in progressive  to severe oral and eye dryness, frequent complaints of fatigue and joint pain, and high risk of developing lymphoma. It is the second most common systemic autoimmune disorder in the United States, yet to-date no effective treatment has been identified, yielding high morbidity and poor quality of life among affected patients. This may be partly explained by the heterogeneity in pathogenesis and phenotype of SjD. There is a critical need to identify therapeutic pathways. Dentists are a critical component of the interprofessional team managing SjD given the oral complications associated with salivary hypofunction.

In 2003, the UCSF School of Dentistry Department of Orofacial Sciences (OFS) was awarded an $11-million NIH contract to fund the Sjögren’s International Collaborative Clinical Alliance (SICCA). The primary goals of this contract initially led by Troy Daniels, DDS, MS, professor and former associate dean for academic affairs, and John Greenspan, BDS, PhD, professor and former associate dean for research, were to develop new classification criteria for the disease to standardize patients’ entry into clinical trials, and to establish an international biorepository and data registry for SjD, that would enable future pathogenesis, epidemiologic, and genetic studies of SjD by scientists worldwide. By 2012, after receiving a five-year extension and implementing a successful leadership transition with Caroline Shiboski, DDS, MPH, PhD, and Lindsey Criswell, MD, MPH becoming co-principal investigators in 2010, SICCA had become the largest biorepository and data registry for SjD in the world (with 3,514 participants recruited from six international and three U.S. sites), and classification criteria had been provisionally approved by the American College of Rheumatology (ACR). Shiboski, who subsequently became chair of the Department of Orofacial Sciences, and Criswell, who became chief of rheumatology in the School of Medicine and UCSF vice chancellor for research (and has since joined the NIH as director of the National Institute for Arthritis and Musculoskeletal and Skin Diseases), had been closely involved with SICCA since its onset in their respective roles as lead epidemiologist and geneticist. Each research site included a multidisciplinary clinical team which included expertise in oral medicine, rheumatology, and ophthalmology to implement standardized protocols to collect multiple specimens and phenotypic data that allowed robust characterization of key disease features.

The Schirmer test is one of the ocular tests performed on patients suspected to have SjD, and is used to assess aqueous deficiency or dryness of the eye.
The Schirmer test is one of the ocular tests performed on patients suspected to have SjD, and is used to assess aqueous deficiency or dryness of the eye.

All biospecimens, including minor salivary glands, saliva, serum, whole blood (for DNA extraction) and tears, were shipped to the UCSF AIDS Specimen Bank (OFS) where they have been stored since then, and data were sent to the SICCA Data Coordinating Center directed by Stephen Shiboski, PhD, in the Department of Epidemiology and Biostatistics in UCSF's School of Medicine. Investigators meetings that gathered the multidisciplinary clinical teams from all sites across the world, and individual site visits by the UCSF team, were organized regularly to uniformly train each research team in the standardized collection of specimens and data. This resulted in the unique current SICCA collection of biospecimens from over 3,500 participants with well-characterized phenotypic data, and it created long-lasting relationships and interprofessional collaborations. Subsequently, a collaboration with the European League Against Rheumatism (EULAR) Sjögren’s Taskforce led to the validation of the definitive 2016 ACR-EULAR criteria for SjD, which are now universally accepted as entry criteria to clinical trials pertaining to SjD. This international effort was led by the UCSF team.

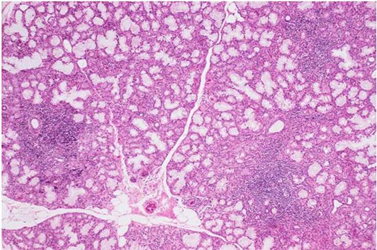
Hematoxylin and eosin–stained labial salivary glands exhibiting focal lymphocytic sialadenitis, a pattern of inflammation that is commonly found in patients with SjD. Labial salivary glands are among the valuable specimens banked in the SICCA biorepository, and enabling new studies advancing SjD research.
Hematoxylin and eosin–stained labial salivary glands exhibiting focal lymphocytic sialadenitis, a pattern of inflammation that is commonly found in patients with SjD. Labial salivary glands are among the valuable specimens banked in the SICCA biorepository, and enabling new studies advancing SjD research.

Since June 2020, a new NIDCR-funded U01 grant to generate genome-wide DNA methylation and single-cell RNA sequencing data from the existing SICCA biorepository is enabling a better understanding of SjD biologic pathways, bringing researchers closer to identifying new therapeutic targets. This SOD-OFS led project, called SICCA-NextGen, is an example of campus-wide collaboration and the first NIH-funded project to partner with UCSF CoLabs, an exciting new initiative that brings five major CoLab teams —Parnassus Flow Cytometry, Biological Development Imaging, Functional Genomics, Disease to Biology, and Data Science—under one umbrella. Thus the SICCA-NextGen team has been expanded with several scientists including Sarah Knox, PhD, associate professor in the School of Dentistry’s Department of Cell and Tissue Biology and assistant dean for basic science research, and Jimmie Ye, PhD, an associate professor in the School of Medicine’s Division of Rheumatology, who leads a laboratory that develops experimental and computational genomics tools to characterize the natural variation in gene expression and its effects on disease susceptibility.

To date, in addition to the development and validation of definitive classification criteria for SjD endorsed by both the ACR and EULAR, a number of studies utilizing SICCA data have yielded important new findings regarding the SjD phenotype. Furthermore, in collaboration with the Center for Inherited Disease Research, SICCA investigators performed a Genome-Wide Association Study (GWAS) that highlighted the genetic heterogeneity of SjD according to ancestry, and established a unique genetic repository for SjD available for public use through the database for Genotypes and Phenotypes (dbGAP) at the National Center for Biotechnology Information (NCBI).

“The key ingredients to the success of this SOD-OFS-led 18-year global health journey to better understand SjD, bringing us closer to new therapies, include team-work, multidisciplinary collaborations, patient engagement, and long-term succession planning,” summed up Caroline Shiboski, principal investigator of SICCA-NextGen.